There’s no ‘i’ in ‘team’

After this morning's pre-work swim session and with the smell of chlorine fresh on my skin I'm feeling rather nostalgic for my university water polo days today. I have a sneaking suspicion that this nostalgia may also have something to do with the rather wonderful wedding of one of my polo teammates at the weekend, [...]

Exercising, eating…and chemotherapy

An inspirational Monday morning post from my foodie, fitness friend and fellow blogger Ruth Chesworth on diet, exercise and chemotherapy: So in 2011 I was diagnosed with a rare type of tumour in my abdominal wall, by that time it’d taken over the left side of my not-so-6-pack. Having had it, and the muscle it [...]

One glass or two?

Lately I've come to realise that, quite alarmingly, I seem to separate my otherwise obsessively healthy lifestyle from my love of wine and my sometimes rather frightening intake of alcohol. By Sunday, this week will have involved a toast to a book project, a publishing pub quiz and a wedding, all of which include drinks. [...]

Testing the water

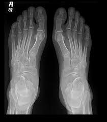
This week I've had some good(ish) news: my x-ray results came back and there was no sign of a stress fracture! It seems what I actually have is bad ligament damage, which I see as a much better state of affairs, not least as one of my worries about the suspected fracture was the doctor's [...]

New mountains to climb

With no x-ray results and a dogged determination to go on press to see my book printed, in the early hours of Wednesday morning, (3:30am early), I got up, took a good handful of painkillers and set out on my trip to Slovenia. With the early morning and with my sleepiness and blood sugar all [...]

Massage, relaxation and leaving the wallowing to the hippos

The Friday fractured foot debacle (FFFD) cast a rather disproportionately large shadow over an otherwise pretty amazing week. I'd spent a lovely couple of days with my parents who had come down to visit, which included a delicious trip to Tibits (our favourite vegetarian haunt - so good that even my carnivorous parents love it!), [...]

The darkest of days

This week I have found myself asking some serious questions about my desire to run and my loyalty to my Vibrams. On Friday I woke up unable to walk. After the latest bout of tendonitis, I took just over a week off and was working on stretching and rehabilitating exercises. I was actually 'taking it [...]

The cost of healthy living

As the end of the month approached, yet again I found myself rather penniless and with the cupboards somewhat bare. You see, while London is one of the most beautiful, busy and bustling cities in the world, it is also one of the most expensive. Combine this with costly sports membership fees, an appetite for healthy (but pricey) [...]